眼病预防
1
讨论组成员
讨论
显示:
排序:
wuhqc162023年7月22日 16:25
随着现在近视的人变多,尤其是近视的人年纪越来越小,大家对于近视也格外关注。已经有很多家长,为了避免自家孩子出现近视情况,都在找寻预防近视的方法。
andyp642023年7月21日 15:55
对于干眼症,大部分人对其的了解不比近视,但干眼症也不能忽视。有时候,我们平常一个不经意的习惯,就会让我们眼睛出现干眼症。
cvbvcbvbn52023年7月21日 15:48
家里的老人 如果换上了白内障该怎么办,很多人患有白内障自己都不清楚,但如果家里出现了白内障的老人应该怎么做呢?
hjsdd412023年7月20日 14:22
多说什么都是废话,健康才是重点,夏季容易引发哪些眼病?我们又该如何预防?今天我们来看看!
zyandyq84212023年7月13日 16:35
患了结膜炎怎么办怎么才能更快恢复。结膜炎虽然在眼科疾病当中治疗难度较低,但是经过仔细的治疗和细致的护理之后,一般都能够在短时间内康复。
myzna545112023年7月12日 16:26
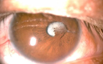
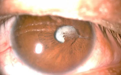
白内障是老年人常见的眼科疾病,会导致老人出现很多的问题,比较大的还是会出现致盲情况,要进行手术治疗才行。
kgyol122023年7月12日 15:48
眼睛的健康,对于我们来说是很重要的。现在已经有很多家长开始关心了孩子们的眼睛情况,因为现在近视的年龄越来越小,已经有很多孩子出现近视情况。
jizmy72452023年7月10日 16:49
当太阳毒辣的时候,刺激到我们的眼睛,这时候应戴上太阳镜,能遮挡大多数光线辐射,有助于眼部做好防晒。
hcggl512023年7月10日 16:06
现在的“小眼镜”越来越多,戴眼镜既不方便,也不美观,多少人的好看美貌都被眼镜封印。所以保护眼睛,是很重要的。
rsfmj962023年7月5日 15:18
每天工作对着电脑,下班刷着手机,眼睛替我们承受了太多,久而久之,有没有觉得眼睛干涩、充满异物感。也许这个时候,你已经得了干眼。
xiaozq6512023年7月3日 16:24
佩戴隐形眼镜需掌握5点 任何一个都不能缺少。很多人为了美观从而不戴上框架眼镜,却带起了隐形眼镜,殊不知这会引发很多的眼部疾病。
jghjkhgk42023年6月30日 17:47
暑期护眼小攻略 青少年视力问题高发的阶段,每到暑期手机不离手的青少年,也迎来了自己的视力高发期。
94duNleIiXH2023年6月30日 17:02
这个夏季你游泳了吗?泳池是一类公共场所,正是病菌喜欢集中的地方,如果没有做好防护,感染上病毒,得了“红眼病”,这可怎么办?今天就给大家讲讲夏天游泳时如何预防红眼病。
YMMnN2FZT2023年6月28日 17:13
先天性青光眼是由于胚胎时期发育障碍,使房角结构先天异常或残留胚胎组织,阻塞房水排出通道,导致眼压升高,整个眼球不断增大,称发育型光眼。儿童青光眼是一种引起视神经损害的疾病。视神经由很多神经纤维组成,当眼内压增高时,可导致视神经纤维损害,引起视野缺损。早期轻微的视野缺损通常难以发现,如视神经严重受损,可导致失明。
xyoop692023年6月27日 15:48
沙眼是一种常见的感染性眼病,是由微生物沙眼衣原体引起的一种慢性传染性结膜角膜炎,患病程度与环境、卫生条件密切相关。
jkhsu782023年6月25日 11:59
无论是近视、青光眼、或者白内障,对我们眼睛的伤害都不小,所以我们在日常中要注意饮食的习惯,预防眼部疾病的出现。
dfhguty42023年6月24日 17:16
出门时,一眼看去,戴眼镜的人还是很多,这说明患有近视的人很多,那么,近视手术后如何用药?
fdshfghgfj52023年6月21日 17:12
当孩子刚发现近视要不要及时配眼镜,在孩子还这么小的情况下,戴眼镜是否合适呢?
nrybyb612023年6月21日 16:11
走过了春的旖旎,迎来了灿烂、热烈的初夏,在这样一个生机勃勃的日子里,仍有人深受过敏性角结膜炎的影响—眼痒、充血、流泪,严重影响正常生活。
wunsa542023年6月21日 15:58
干眼症反复发作?教你6招来应对。当自身眼睛比较干涩的时候很有可能是干眼导致的,干眼症的出现会影响我们的眼睛。
ussnFmEu2023年6月20日 16:18
长期用电脑、看手机,眼睛干涩;眼球表面像是缺了润滑剂,转动困难;眼睛像是突然被针扎,感觉刺痛;忽然流出很多泪水,平时却还感觉干涩;看东西时而清楚、时而模糊……你可能被干眼症盯上了!这是一种常见的眼科慢性疾病,我们怎么做才能预防干眼症找上门?
xiangsuq4412023年6月15日 16:26
当出现麦粒肿时不能用力按压,也不可自行挑破;清水清洁眼睑;不能画眼妆,拒绝佩戴隐形眼镜。
rbzbx642023年6月14日 15:23
眼干、眼痒、眼红、异物感、烧灼感、疲劳感等,这是不少手机控和上班族眼睛经常会出现的症状,但很多人都不太在意,觉得是件小事。但是,可能已经患上了干眼症。
fhgfhgf52023年6月13日 17:07
为什么孩子一发现就是二三百度了 孩子近视的症状有哪些,很多父母发现自己孩子近视的时候已经晚了,因为那时候都已经有200、300度了。
gP9lFQoFaHrX2023年6月12日 17:16
近年来青光眼的发病率及致盲率仍居高不下,青光眼作为不可逆性致盲眼病,给社会和家庭带来了巨大的负担。虽然青光眼无法彻底治愈,但是在早期进行治疗通常可以阻止进一步对视力及视功能的损害,提高患者的生活质量。
isuih52023年6月12日 12:09
很多疾病都是由于不讲卫生而导致的,用不卫生的手去摸眼睛也是导致眼部长出麦粒肿的其中一个原因。
htgjhgjg52023年6月8日 17:28
好好了解下什么是ICL 为什么会有这么多人选择这个术式,ICL知道的人很多,但真的有了解过吗?
kjsdjb22023年6月8日 11:26
如果我们日常生活中用眼不规范真的很容易出现干眼症的问题,在现实中就有很多人因为长期的看电子产品而导致需要就医的情况。












