推荐

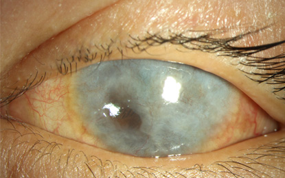
病毒性角膜炎这个致盲率很高的眼病 当遇上后该如何处理

感染性角膜炎目前已成为我国第二大致盲病因,而其中病毒性角膜炎发病率明显高于细菌性以及真菌性角膜炎,很多患者因此到眼科医院就诊,但患者们时常会疑惑为什么病情会反反复复发作,这其实是病毒性角膜炎的一大特点,那么当患上病毒性角膜炎后,我们该如何处理呢?

角膜炎

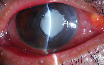
角膜炎:别小看它,严重起来很麻烦

眼睛是心灵的窗户,而角膜就是这扇窗户的透明玻璃。角膜炎,听起来好像没那么可怕,但其实它是一种需要重视的眼病。今天,我们就来好好聊聊角膜炎到底

小财໊ཀྃ月 2025-07-29 09:08:07

角膜炎

角膜炎治疗周期有多长

角膜炎的预防和治疗需要综合考虑多个方面,包括个人卫生、眼睛保护、生活习惯、过敏原避免、眼科检查以及药物治疗等。一旦出现角膜炎症状,如眼红、眼

微光拾梦 2025-02-17 09:36:18

角膜炎

角膜炎治疗后视力可以恢复吗

角膜炎由多因素引起,分深层和浅表型,症状包括疼痛、畏光、视力模糊和充血。治疗后视力恢复取决于类型、严重程度和治疗及时性。轻度可恢复,重度可能

幸运小福星 2024-12-25 10:42:13

角膜炎

角膜炎用什么眼药水

角膜炎是常见眼部疾病,需早发现早治疗。根据类型选眼药水,如病毒性用利巴韦林,细菌性用广谱抗菌素后换针对性抗生素,真菌性禁用糖皮质激素,非感染

翠绿岭南 2024-12-23 10:20:31

角膜炎

角膜炎好治疗吗

角膜炎是角膜炎症,影响视力。治疗方法包括药物(抗生素、抗病毒、抗真菌、糖皮质激素)和手术。及时诊断和遵循医嘱治疗关键,多数可治愈。怀疑患病应

此生只为一人笑 2024-12-20 09:34:02

角膜炎

角膜炎的症状表现有哪些,这些要注意

角膜炎常见症状包括眼红、眼痛、流泪、视力模糊、畏光、异物感和眼部分泌物增多。预防角膜炎需保持眼部卫生、正确使用隐形眼镜、佩戴保护眼镜、避免感

不爱却懂梦 2024-09-06 09:54:43

角膜炎

角膜炎对眼睛的危害不容小觑 该如何预防角膜炎

角膜炎是指由于外伤,或感染细菌、病毒、真菌而致的角膜炎症性病变,包括浅层点状角膜炎、角膜变性、化脓性角膜炎、角膜基质炎和束状角膜炎等。角膜炎

让时间说真话 2024-07-23 17:05:24

角膜炎

角膜炎是由什么原因引起的

角膜炎由细菌侵入、过敏、创伤、免疫系统问题等引起,症状包括眼部疼痛、模糊、流泪等。出现症状应及时就医检查和治疗,预防关键在于了解病因并避免相

大黑跑出去了 2024-07-18 10:20:38

角膜炎

角膜接触镜佩戴者该如何预防棘阿米巴角膜炎

棘阿米巴角膜炎由棘阿米巴原虫引起,感染风险高。角膜接触镜佩戴者需注重卫生、规范镜片护理和日常预防,避免污染水源接触,科学使用隐形眼镜,定期检

多巴胺很浓郁的百香果 2024-07-03 11:48:44

角膜炎

角膜炎对眼睛的威胁,比想象中严重

角膜炎是角膜组织炎症,症状包括疼痛、充血、浑浊等,不及时治疗可能导致视力模糊、角膜溃疡、瘢痕等危害。患者需按医嘱用药、保持卫生、避免刺激,及

在风中跳舞的蒲公英 2024-07-03 11:44:57

角膜炎

关注眼健康,眼科常见病之角膜炎

角膜是眼睛前部透明组织,提供屈光力,无血管,靠泪液及房水获取养份。角膜易受损感染,修复慢,易留痕。角膜炎是角膜组织炎症,典型症状为眼痛、畏光

无聊鸭本鸭 2024-05-22 09:25:28

角膜炎

农忙将至,警惕真菌性角膜炎

芒种将至,农忙时节需警惕真菌性角膜炎。该病由真菌感染引起,常见诱发因素为植物划伤眼睛。症状包括眼部刺激、视物模糊等,严重者可致角膜穿孔。治疗

人间导航鹿吃吃 2024-05-22 09:17:39

角膜炎

听说过角膜炎吗?哪些原因会导致角膜炎呢

角膜炎是黑眼珠上的“白星”,由外因和内因导致,包括角膜损伤、感染、全身内因性疾患等。揉眼易带入病菌,导致眼睛发炎,需避免。

沙僧的牛皮鞋 2024-05-11 10:04:48

角膜炎

头痛闹热不一定是感冒 也可能是病毒性角膜炎引起的

感冒常常会让身体出现不舒服的症状,头痛、发热、全身酸胀、肌肉无力等。对于年龄较小的孩子来说,感冒对眼部的刺激会让孩子看起来,经常眼泪汪汪的、

给梦妹一球 2024-04-27 09:57:00

角膜炎

角膜病都有哪些?什么情况下会患角膜病

角膜病是视力丧失的重要原因,易患人群包括佩戴美瞳/隐形镜片者、熬夜疲劳者、长期使用激素眼药水者、老年人和缺乏微量元素者。传染性角膜病一般不传

小仙这厢有礼 2024-04-23 14:53:31

角膜炎

守护明亮双眼,探索角膜炎的奥秘

角膜炎是常见的眼部疾病,由多种因素引发,影响视力。预防需注意眼部清洁、用眼卫生和锻炼身体。治疗需根据病因选择合适药物,并正确护理眼部。保持警

我要向前进 2024-04-17 10:23:12

角膜炎

角膜炎的护理要点

角膜炎护理需保持眼部清洁,热敷促进血液循环,滴用眼药按医嘱进行,预防虹膜睫状体炎。加强营养,避免刺激性食物,减少眼部刺激。预防角膜炎要讲卫生

逆风飞翔 2024-04-17 10:20:56

角膜炎

丝状角膜炎是怎么回事

角膜上皮细胞受损会形成丝状物,眨眼摩擦促进丝状角膜炎发展,症状包括异物感、畏光流泪、结膜充血、红眼等。治疗原则为去除诱因,表麻下擦去角膜丝状

山楂糖葫芦 2024-04-12 12:10:43

角膜炎

角膜炎会引发哪些眼部疾病

角膜是眼屈光的重要组成部分,角膜炎可导致视力下降,并发症包括前房积脓、角膜穿孔、前极性白内障、虹膜脱出、角膜葡萄肿、角膜瘘、后弹力膜膨出、角

多多的袖珍珠子 2024-02-13 10:04:48

角膜炎

盘点角膜炎可能会引发哪些并发症

角膜炎不算是少见的眼部疾病,它的症状是括眼痛、流泪,伴有不同程度的视力下降、视物模糊等,还可能会引起各种并发症。

没走开 2024-02-01 11:29:09

角膜炎

角膜炎会传染吗 怎么做好预防工作

角膜炎会传染吗 怎么做好预防工作。当自身得了角膜炎的话是会给眼睛带来很大的麻烦,要记得做好预防和做一些检查。

有你的未来 2024-01-10 15:13:30

角膜炎

冬季是流行性感冒集中爆发的季节 小心引发角膜炎

角膜炎虽然是以炎症病变为主的一个特征,但是并非是小事情,要知道角膜炎在形成之后是会进一步引起其它方面的并发症,并对眼内组织造成极大的危害性,

刺痛下的花瓣 2023-12-29 16:30:23

角膜炎

病毒性角膜炎存在致盲的风险 患上后该如何治疗

眼睛是我们与外界交流的一个窗口,他是我们认识外界的一个重要的渠道。但是现在越来越多人对自己眼睛不主意,长时间,高强度的工作,加上不注意休息等

维心素 2023-12-13 17:10:26

角膜炎

如何避免感冒导致的病毒性角膜炎 快来get关键方法

感冒,是一种很正常的疾病,而角膜炎,也是大家较为熟悉的眼部疾病。但是,很多人不知道的是,感冒和角膜炎是有很大的关系。

做你的太阳 2023-12-01 16:43:45

角膜炎

病毒性角膜炎严重的话可致盲 这些治疗方法你得知道

生活中的角膜炎是比较常见的,常常以眼睛疼痛、畏光、流泪等表现出现,有时候也表现为眼睛痉挛、干涩等症状。角膜炎的类型有很多种,病毒性角膜炎是其

心若彷徨 2023-11-24 16:57:47

角膜炎

角膜炎会传染吗 怎么做好预防工作

别小看角膜炎,这种眼病比较容易致盲,毕竟是位于眼球的前面,一旦出现角膜炎,大家还是要做好预防跟治疗工作才行。

毁心爱人 2023-11-13 16:15:56

角膜炎

角膜炎的症状及治疗

角膜炎分真菌性,病毒性,细菌性等症状,目前不可以随便用药治疗的,必须做细菌培养检查,看看属于什么类型炎症感染,才可以进一步确诊治疗,一般情况

梦境 2023-11-03 09:23:38

角膜炎

什么是角膜炎 角膜炎的症状是什么

角膜炎的症状是我们的生活中很多人都不知道是什么,但是角膜炎的出现危害很多,对于角膜炎大家都了解吗?患上了角膜炎的症状有哪些?

小小世界 2023-10-17 15:59:47

角膜炎

角膜炎如症状严重 需及时就医治疗

角膜炎很多人都不陌生,严重的角膜炎会引起失明。但是在日常生活中很多人不知道角膜炎有哪些种类、角膜炎的病因是什么。

莞尔一笑 2023-10-12 16:05:03

角膜炎

各种原因导致的角膜炎症通称角膜炎 角膜炎都有哪些分类

角膜炎是常见的角膜疾病。多由外来各种致病菌感染所致,也可因结膜、巩膜病变蔓延而来,如结膜炎时可伴有角膜缘浸润,巩膜炎时伴硬化性角膜炎。一些全

人的第七年是分离 2023-09-25 17:44:54

>