角膜炎
丝状角膜炎是怎么回事
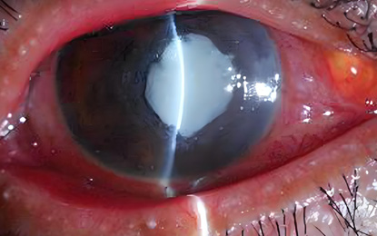
角膜上皮细胞受损会形成丝状物,眨眼摩擦促进丝状角膜炎发展,症状包括异物感、畏光流泪、结膜充血、红眼等。治疗原则为去除诱因,表麻下擦去角膜丝状物,涂眼抗菌素眼膏等。重者应就医处理,不要自行刮除。
山楂糖葫芦
角膜上皮细胞受损后可形成丝状物粘附在角膜表面,其周围可包裹粘蛋白、炎症细胞和结膜上皮细胞,眨眼可使角膜和眼脸之间出现摩擦,从而促进丝状物的形成,终发展为丝状角膜炎。

丝状角膜炎症状
丝状角膜炎症状一般包括异物感、畏光流泪、结膜充血、红眼等。
1、异物感:出现丝状角膜炎后,患者也会有明显的眼部异物感,这是由于角膜异常增生导致角膜表面凸起,当眨眼时就容易出现异物感。
2、畏光流泪:因为角膜是机体神经末梢分布密度高的器官之一,如果出现丝状角膜炎,就会引起剧烈的眼痛、畏光流泪的症状。
3、结膜充血:结膜充血是丝状角膜炎病变的常见症状表现,该情况通常是由于角膜上皮增生,导致角膜表面呈丝状凸起,在眨眼时,结膜摩擦角膜所引起。
4、红眼:由于发生丝状角膜炎,角膜上皮会发生异常增生,血管的异常增多会引发血管充血,从而造成红眼。如果出现上述症状,建议及时去医院,并在专业医生的指导下进行诊断治疗,避免延误病情。
丝状角膜炎如何治疗?
治疗原则
1、去除诱因。
2、表麻下擦去角膜丝状物。
3、角膜滑润剂及抗菌素眼膏涂眼。
疗效评价
1、治愈:角膜卷丝消失。
2、好转:角膜卷丝减少。
3、未愈:角膜卷丝增多,刺激加重或无改善。
眼科提示:丝状角膜病变的角膜卷丝轻者在数天内可自行消失,重者应到医院处理,不要自行刮除或擦掉,以免造成角膜感染等严重后果。
治疗方案查找病因,对因治疗。在表面麻醉后,机械拭去角膜丝状物,然后结膜囊涂抗生素眼膏,包眼12-24h。适当应用抗生素眼液及眼膏,防止继发感染。试用营养角膜上皮的药物,适当口服维生素类药。10%半胱氨酸可减低丝状物粘性,有利于卷丝的去除。角膜上皮剥脱后,可配戴软性角膜接触镜,以减轻症状,同时点用不含防腐剂的人工泪液。
免责说明:本文由网友自由发布,如有侵权,请联系本网站进行删除