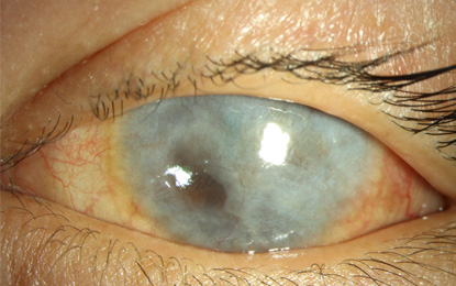
角膜炎
角膜病都有哪些?什么情况下会患角膜病
角膜病是视力丧失的重要原因,易患人群包括佩戴美瞳/隐形镜片者、熬夜疲劳者、长期使用激素眼药水者、老年人和缺乏微量元素者。传染性角膜病一般不传染。发现眼睛不适、流泪、视力下降、畏光等症状应及时就医检查。
小仙这厢有礼
角膜病是所有角膜疾病的总称,指的是由于炎症、外伤、先天性疾病、营养不良或者肿瘤的存在,导致角膜病理性改变,是导致患者视力丧失的重要原因之一。

容易患角膜病的人群特点
1、经常佩戴美瞳或者隐形镜片的人群
主要由于隐形镜片多为软性镜片,透氧性较差,且直接与角膜接触,长期佩戴不注意卫生(比如不更换护理液、用脏手佩戴)极容易导致角膜病。
2、经常熬夜,过于疲劳的人群
主要由于人过于疲劳的时候,容易导致机体免疫力明显下降,从而导致病原菌容易侵犯角膜,诱发角膜病。
3、长期使用激素眼药水的人群
主要由于长期使用激素眼药水后,容易导致眼部出现病菌感染,从而出现角膜病。
4、年纪大的人群
五六十岁以上的老年人,由于角膜组织退行性病变和功能减退,导致角膜变性。
5、缺乏微量元素的人群
长时间维生素A不足,没有得到及时的治疗,容易导致角膜干燥、溶解、坏死,甚至穿孔。
6、传染性
角膜病一般没有传染性。
患了角膜病该怎么办?疾病类型分类大致有:
1、角膜炎
2、角膜变性与角膜营养不良
3、角膜软化症
4、角膜先天异常
5、角膜肿瘤
一旦发现眼睛不适,感觉到经常流泪,视力下降,畏光,就应该及时就医由,医生进行进一步检查!大全眼科的检查类别如下:
裂隙灯检查:
通过显微镜观察眼部结构,检查是否存在炎症、伤口等。
视力检查:
通过眼图表等工具检测患者视力是否下降。
眼压检查:
通过测量眼内压力,检查是否患有青光眼等疾病。
角膜共聚焦检查:
通过角膜共聚焦成像技术,检测是否存在角膜病变等问题。
实验室检查:
通过血液、尿液等检验,检查是否存在炎症、感染等问题。
免责说明:本文由网友自由发布,如有侵权,请联系本网站进行删除