眼病症状
1
讨论组成员
讨论
显示:
排序:
bxhjs32023年11月2日 14:32
患了干眼症会导致我们的眼睛干涩、有异物感等问题,所以我们要做好眼睛的保护,特别是小孩的,因为小孩可能不懂怎么表达。
cigw21102023年10月30日 16:57
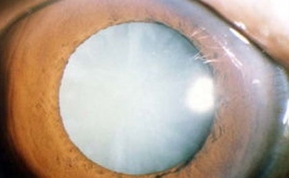
白内障会危害到眼睛,特别是一些老人,很容易就出现白内障,因此预防并发性白内障的发生就显得更为重要。
cyktt2342023年10月23日 17:18
正常眼球内的晶状体是透明的,而人在步入中年以后,身体的机能会渐渐退化。晶状体逐渐混浊,不再清澈透明,这个时候犹如“相机的镜头”出了问题,也就是患白内障了。
sgyxs7232023年10月20日 16:41
眼睛的疾病有很多,像大家熟悉的近视,就是眼睛疾病之一。除了近视,也有很多大家都不太了解的疾病。就像干眼症,很多人知道这个疾病,但不知道这个疾病是什么症状。
sjguys582023年10月20日 14:40
在生活中,很多人都会长过针眼,但是有些人以为是痘痘,去挤,家人们,要控制自己的手啊,靠近睫毛那块长出来的东西可能是针眼啊。
maosue5462023年10月18日 16:38
红眼病的症状 早发现早治疗。红眼病是眼科当中传播能力比较强的一种眼病,这些症状会带给自己不良的视力阻碍。
zJqg3zuBNke2023年10月12日 17:27
秋季空气干燥,不仅易出现口干咽燥、干咳少痰、皮肤干裂等症状,同时我们的眼睛也会像皮肤一样,有干燥、痒痛等不适的症状。除此之外,日常生活中与工作中的持续用眼、长时间在空调房、内分泌紊乱等也易造成眼干不适。那么干眼都有哪些症状呢?今天就给大家说说。
vRpCREiA55S92023年10月11日 17:25
“红眼病”的传播途径多种多样。患者是主要传染源,其眼部分泌物及泪液均含有病毒,部分患者的咽部或粪便中也存在病毒,常见的是通过接触感染者的眼部分泌物、泪水、毛巾、浴巾、手机等日常用品传播。病人发病后2周仍具有较强的传染性。
lanndmm5442023年10月10日 16:44
大家对于结膜炎应该很陌生吧?这是一种眼病,虽然没有其他的眼病那么有名气,但是得了这种眼病也会产生很大的不舒服。
tlzxwx382023年10月8日 16:49
近视、散光、老花眼,这些眼部问题我们耳熟能详,而青光眼,大家却很少提及,但其实也是一种非常值得被关注的眼科疾病。
uxnw2452023年10月8日 16:35
高度近视除了少吃高糖食物外,还要定期去医院做视力、眼压和散瞳眼底检查,一旦发现病变应积极治疗,以免造成视网膜脱离,甚至导致难以逆转的视力损害。
kjhsui252023年10月7日 16:38
近视眼真的不是一个好事,近视前期孩子的一些小举动,预示着孩子可能向近视发展,所以作为家长的,要时刻关注自己孩子的一些举动。
jgahsu522023年9月27日 9:56
眼部的疾病真的好多,干眼症就是其中的一个,患有干眼症我们的眼睛会出现干涩、怕光、灼痛、眼屎多等症状,我们要怎么去治疗呢!
Cq9q89ok0sv2023年9月26日 18:01
有家长认为:孩子斜视只不过看起来不太美观,不算啥大毛病,没必要看医生。但真相是这样吗?不!斜视虽然是一种常见的儿童眼病,但它可能产生的危害,绝不只影响美观。那么斜视都有哪些症状?又该怎么治疗呢?
zium612023年9月25日 16:44
现在的电子产品众多,什么手机、电脑、电视等等。而孩子比较期待的还是周末能看电视的日子,那么看电视太多危害眼睛是会产生近视的。
nshlbl722023年9月22日 16:49
在生活中,经常会出现一些孩子眼睛发红并去看医生的情况。尤其是现在换季的时候,是孩子身体抵抗力弱的时候,也是容易出现红眼病的情况。
msud6562023年9月20日 16:40
揉眼睛也会视网膜脱离 导致视网膜脱落的原因有哪些??干净流眼泪大部分的人都是用手来揉一揉,殊不知视网膜脱离也是比较麻烦的。
uyssd82023年9月20日 11:23
沙眼是具有传染性的,多发于儿童和青少年身上,如果我们没做好及时治疗,可能会导致失明,所以要及时治疗。
cusmy6412023年9月19日 16:30
由于年龄的增长,许多爱美者因为上眼皮严重下垂问题影响视线,还对自身的形象有所影响。为了重新获取视线,建议上眼睑下垂矫正手术来改善。
dajislqm6122023年9月15日 16:19
孩子斜视怎么办 及早发现三大症状很关键。斜视总给人一种不礼貌的感觉,特别是在跟人家讲话的时候,不知道的还以为你不拿正眼看着人家。
jipsms65112023年9月11日 16:17
眼睛近视也不仅仅只是电子产品的问题,很多也是有关一些遗传之类的,或者过度用眼等等因素造成的。
jianchuz2652023年9月9日 16:00
近视手术前需要做哪些检查 这些问题可得提前弄清。近视对于我们的眼睛伤害太大,一不小心就看不清了!导致走路还是做事情是比较麻烦的。
J0sXGBSfqY0T2023年9月8日 17:35
秋高气爽,是出行的好时期,但秋季气候干燥,也是干眼的高发季节。干眼则是由于多种原因(泪液分泌不足、泪液质量异常、睑板腺功能障碍等)导致的泪膜稳定性下降,患者多有眼部干涩、异物感、烧灼感、视疲劳、畏光等症状。眼睛干涩不一定就是干眼症,干眼症的症状表现有这些。
huamdi54812023年9月6日 16:28
干眼症熟悉眼科疾病的人会知道,但是对于一些小白来讲,当你眼睛干涩容易流眼泪时要注意了,那可能是干眼症的出现。
danzmcy552112023年9月4日 16:41
一旦发现孩子近视或近视发展速度快,应严格按照医嘱科学矫治,可以选择框架眼镜、角膜塑形镜。
uiyusgs02023年9月4日 11:40
白内障算是我们看这个世界的拦路虎,那么什么样的人会比较的容易患有白内障呢?我们来看看。
msycna5489212023年8月31日 16:35
积极识别黄斑病变症状 了解科学的治疗方式。下面让我们来了解一下黄斑病变有哪些症状?以及应该如何治疗,这样才能更好的恢复眼睛上的视力。
iuyhsi42023年8月31日 11:03
我们在治疗眼睛的时候要搞明白自己眼睛到底是怎么回事,别普通干眼症与干燥症干眼症傻傻分不清,在治疗上受阻了。
zumh35965322023年8月30日 17:15
干眼症是一时疲劳所致吗 没有想象的那么简单。当自身得了干眼症时,要开始注意用眼卫生,不能随意用手按揉,避免带来更大的伤害。












