眼病症状
1
讨论组成员
讨论
显示:
排序:
dddefx892024年1月31日 17:54
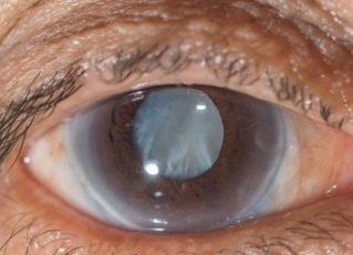
白内障,是一个大家都比较熟悉的眼部疾病。但是,很多人对其都不当回事,都觉得离自己还遥远,真的是这样吗?
pIm9VP24qqwi2024年1月31日 16:46
青光眼,是一种严重影响视力的眼病,常被称为“视神经的偷手”。它往往在无症状的情况下悄然发展,一旦被发现,病变已经较为严重。因此,了解青光眼的症状显得尤为重要。本文将深入讨论青光眼的常见症状,助您守护明亮的视野。
tlaznzh82024年1月25日 17:21
白内障,是我们都比较熟悉的眼部疾病。但是,也是有很多人对白内障有很大的误解。
jiebud5912024年1月24日 16:12
儿童青光眼早期症状 吃什么治疗才能好?儿童出现青光眼很大一部分是遗传导致的,这要及时做好治疗,避免孩子出现失明的情况。
szdzya5692024年1月19日 17:18
青光眼,是我们较为常见的眼部疾病。但是,很多人对于青光眼了解不多,今天就来看看。
m9GsEVbrn7s2024年1月17日 9:57
寒假来临,孩子们期待已久。经过一个学期的学习,孩子们的视力可能出现下降,家长需关注孩子视力复查。除了日常筛查,建议带孩子到医院做医学验光,了解视力发育和近视增长情况。散瞳验光是重要步骤,可判断假性近视和真性近视。散瞳后可能出现畏光症状,药效褪去后瞳孔恢复正常。
ngbuyjhs252024年1月16日 9:28
很多人都觉得青光眼就是老年人的专属博,但其实不!有几类的年轻人也是很容易患有青光眼的!
m9GsEVbrn7s2024年1月12日 16:50
青光眼中老年人群常见眼病,其早期症状包括视力下降、虹视、眼胀、头痛、恶心呕吐和视野变窄等。对于存在青光眼风险因素的人群,如家族史、糖尿病、高血压等慢性疾病,以及长期使用激素和高度远视等人群,应特别注意青光眼的预防和管理。
6O6pbJ7G6iz2024年1月9日 17:10
沙眼,是由沙眼衣原体引起的一种慢性传染性角膜结膜炎,因患者睑结膜表面粗糙不平,形似沙粒,因此而得名。沙眼患者常会出现刺眼,眼部有异物感、分泌物,怕光,流泪等症状。如果发现沙眼一定要及时治疗,那么沙眼的症状都有哪些呢?今天就给大家科普一下。
hxzgs622024年1月8日 17:22
我们很多老年人经常在眼睛看不到的时候会选择一些眼药水来改善,但真的没有效果,关于白内障,要想改善,只能做手术,目前来说眼药水是不OK的。
taigw54682023年12月26日 17:04
冬季眼睛干涩、发痒怎么办?冬季眼睛不舒服是比较常见的,要想通过一些办法来缓解的话,下面这几种方法就很不错。
mzzfji6412023年12月21日 16:45
白内障,在大家眼里,觉得上了年纪才会出现。但其实,很多年轻人也开始出现了白内障。
hgbzyuhjs572023年12月18日 14:37
活在二十一世纪我们真的不能太无知,别以为干眼症只是眼睛干涩而且,滴点眼药水就行了,其实不!
jimdy2672023年12月15日 17:00
现在手机几乎成了生活中不可缺少的东西,但是 关灯玩手机的亲们,可要注意啦,小心青光眼找上门,青光眼是可以致盲的。
jkniksjs72023年12月13日 14:49
高度近视不是简单的近视而已,很有可能会导致一些眼部疾病的出现,所以我们还是要做好眼部的保护。
yows5454212023年12月12日 16:15
年轻人患上白内障的原因?现在的电子产品非常的发达,年轻人每天都离不开各种各样的科技产品,这就是主要的原因。
nzbuhhjss542023年12月8日 11:16
现在都21世纪了,不要再相信眼药水能治疗白内障的问题了,今天带你了解一下有关白内障的两个小误区。
oINt4OhfiP2023年12月5日 17:15
过敏性结膜炎它是眼部的一种过敏性疾病,是结膜对外界过敏原(变应原)产生的一种超敏反应。有时可能还会祸不单行——眼睑皮炎、过敏性鼻炎、哮喘等同时发生,相互影响。冷空气带来了寒冷而干燥的环境,这让空气中作为过敏原的尘螨、病菌等明显增加。这些过敏原在经过风的扩散后,常常会引发易感人群的过敏症状。
xinyuw21202023年12月5日 16:13
高度近视会导致失明吗 高度近视要当心这5大并发症。若是还没有近视,在使用电子产品时,可佩戴防蓝光眼镜,也可以在一定程度上保护眼睛。
njzgujs5s42023年12月5日 16:07
结膜炎是有急性跟慢性的区别的,在人群多的地方是比较容易感染的,今天跟大家一起来了解一下结膜炎吧。
5PrYqbKfKrEd2023年12月4日 17:33
沙眼是沙眼衣原体导致的传染性结膜角膜炎,急性期症状包括眼红、眼疼、异物感、流泪及脓性分泌物,可伴结膜充血,睑结膜可见乳头和滤泡,耳前淋巴结肿大和压痛。沙眼急性炎症期如不及时进行药物干预和正确处理,可转为慢性,进展为乳头增生或瘢痕,常伴有严重的并发症和后遗症如视力减退甚至失明。
LpalvapX6h12023年12月3日 17:35
当孩子看远处时经常眯着眼睛,看电视喜欢走得很近或者侧着头看,这时家长要留心,很有可能是看不清导致的,建议带孩子前往专业的眼科进行检查。因为“防”大于“治”,定期进行眼健康检查也是及时发现孩子近视的有效方法。
fwC2cmToLTBh2023年12月2日 17:12
斜视是指两眼不能同时注视目标,是一种眼外肌疾病。根据偏离的方向,斜视可以分为内斜视、外斜视、垂直斜视和旋转斜视等类型。那么斜视会遗传吗?答案是会的,如果父母有斜视的话,那么遗传给下一代的概率还是蛮高的,当孩子出现这些症状的时候,就要警惕可能是斜视引起的。
ioksna5412023年11月21日 16:34
对于近视,很多人会通过手术来改善,而大部分的人是通过戴眼镜来缓解眼睛上的视力,从而清晰的看到外面的世界。
u98kzcP9Gub92023年11月20日 17:35
沙眼多为急性发病,病人有异物感、畏光、流泪,很多粘液或粘液性分泌物。数周后急性症状消退,进入慢性期,此时可无任何不适或仅觉眼易疲劳。如于此时治愈或自愈,可不留瘢痕。晚期常因后遗症,如睑内翻、倒睫、角膜溃疡及眼球干燥等,沙眼的症状更为明显,并严重影响视力,甚至失明。
nbzujs62023年11月15日 15:10
如果你没来得及去检查自己的眼睛是否患有白内障那可以在家自己这样查,虽然不一定会完全准确,但是也可以试试。
mahzd545212023年11月13日 16:27
当自身发现青光眼症状后,患者本人一定要引起高度的重视,要及时去做医治,切莫相信街头的广告。
SZJX9B7wEB2023年11月10日 17:13
我国古时民间习惯以立冬为冬季的开始。立,建始也;冬,终也,万物收藏也。立冬意味着生气开始闭蓄,万物进入休养、收藏状态。其气候也由秋季少雨干燥向阴雨寒冬的冬季气候过渡,代表一年中寒冷的季节即将到来。同时冬季也是青光眼的高发季节,如果出现这些症状就要警惕了。
huakisn54552023年11月3日 16:21
家长请注意 激光笔照射眼睛可能会导致孩子眼底损伤。激光笔不能当做孩子的玩具,一旦眼睛被照,可能是会出现眼部疼痛的症状。
sbanjiu82023年11月2日 16:25
随着年龄的增长,老年人机体各方面的功能开始减弱,晶状体功能也相对减弱,加之新陈代谢等因素的影响,发生白内障的机会相对增加。












