推荐

年轻人也会得白内障,原因是

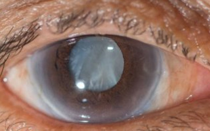
年轻人也会得白内障吗?答案是会的!白内障是一种常见的眼部疾病,通常发生在老年人群中,但事实上,年轻人也有可能患上白内障。虽然概率较低,但也并不是不可能。

白内障是不是越早做越好

白内障手术最佳时机需根据患者情况决定,早期手术可降风险、少并发症、快恢复视力,但需考虑视力影响、身体条件、眼部状况及心理准备。潜在风险包括后囊膜混浊和飞蚊症加重,建议与医生充分沟通后决定。

白内障

哪些原因会出现白内障 出现后哪个时间做手术合适

白内障,是现在大家很熟悉的眼部疾病。是现在很多老年人都会出现的眼部疾病,但是,也有很多人对其了解不多。

浪漫的雨夜 2023-11-10 16:31:37

白内障

白内障患者关注的5个常见问题 答案告诉你

当自家老人出现白内障的时候,千万不要胡乱去医治,要记得到眼科医院进行检查之后,在进行治疗会比较好。

晴天娃娃 2023-11-09 16:44:58

白内障

生活中 这几类人要高度警惕白内障

上了年纪以后,我们的身体就开始出现各种问题,白内障就是其中的一个,有几类人白内障会更喜欢。

你追过吗 2023-11-09 14:08:26

白内障

眼睛看东西总是“迷迷糊糊”不一定是老花眼 也可能是白内障

随着年龄的增长,老年人机体各方面的功能开始减弱,晶状体功能也相对减弱,加之新陈代谢等因素的影响,发生白内障的机会相对增加。50岁以上人群开始

爱你所爱 2023-11-08 17:17:09

白内障

白内障手术人工晶体怎么选

如果你想做人工晶体的植入推荐过来看看,看一下想要植入人工晶体时这个晶体要怎么选择才适合自己。

想换个不要解释 2023-11-03 10:30:16

白内障

得了白内障 千万不能“一拖再拖”

随着年龄的增长,老年人机体各方面的功能开始减弱,晶状体功能也相对减弱,加之新陈代谢等因素的影响,发生白内障的机会相对增加。

离心离情 2023-11-01 16:03:59

白内障

双眼都有白内障 一次只能做一只眼吗

有时候我们的眼睛可能是两边都出现白内障,那么白内障一次只能做一只眼吗?还是两只眼睛都能做?

柠檬小丸子 2023-10-29 15:34:33

白内障

喜欢挑老人年“下手”的白内障 是不是只有老年人才会得

眼睛是感知世界的窗户。可是,对于白内障患者而言,就像是明澈的窗户蒙上一块布。白内障多发于老年人,但是发病群体又不仅限于老年人。很多人以为白内

利益关系 2023-10-27 16:58:28

白内障

得了白内障做手术还能重见光明吗

你对白内障了解吗?你知道白内障有哪些症状吗?白内障的出现,会导致我们的视力受损,所以要好好的看看有关它的知识。

理想的爱 2023-10-27 14:50:17

白内障

出现这些症状要小心 可能是得了白内障

出现这些症状要小心 可能是得了白内障。相信大家对于白内障都有一定的了解,若不慎患发白内障会对患者的眼睛造成很大的危害。

继续追 2023-10-24 16:16:58

白内障

飞秒白内障手术 是否被广泛应用在复杂、特殊的白内障患者治疗中

飞秒白内障手术 是否被广泛应用在复杂、特殊的白内障患者治疗中,越来越多的人患有白内障,那么什么样的方式治疗白内障比较好呢?

夏日物语 2023-10-24 15:55:18

白内障

来讲清楚关于白内障注意事项

来讲清楚关于白内障注意事项。白内障一旦出现会影响整个人的视力,这种眼病一般发生在老年人身上,偶尔也年轻人也会有。

活在无知 2023-10-23 16:22:10

白内障

眼药水滴眼睛 真的能治疗白内障吗

为了能让我们以后老年人了,在应对白内障的问题上不至于手足无措,这篇文章我建议你还是要看完。

捆绑的心 2023-10-23 11:09:49

白内障

白内障是老年人常见的眼部疾病 却是细心的内眼手术

白内障是老年人常见的眼部疾病 却是细心的内眼手术,白内障手术不是一个小项目,因此,很多人会比较关注这个疾病。

雨虹 2023-10-20 15:26:47

白内障

秋季是治疗白内障“黄金季节”吗

秋季是治疗白内障“黄金季节”吗?现在好多人患有白内障,有病治病,但秋季是不是一个治疗白内障的季节呢?

玫红色 2023-10-18 15:24:55

白内障

白内障的这些知识 过来了解下

白内障,是现在很多老年人都会出现的眼部疾病。虽然现在这个疾病大家不陌生,但也有很多人不太了解。

轻吟知秋意 2023-10-16 16:34:32

白内障

IOL多焦点晶体术后是否会完全摆脱眼镜

老年人的视力出现问题是常有的事,白内障跟老花眼可能会同时出现,那么两者能同时治疗吗?

将更划算 2023-10-16 10:05:57

白内障

糖尿病合并白内障的治疗

糖尿病、白内障这两种疾病在老年人身上同时存在是常见的,那么这种情况,我们要怎么治疗呢?

渡鸡口 2023-10-14 15:20:55

白内障

关于白内障的这些知识 大家都知道多少呢

对于目前失明概率较大的眼部疾病,白内障一直是大家想要祛除的。但是,也有很多人对于白内障了解不多。今天,就一起来看看吧。

青山笑春风 2023-10-10 15:56:10

白内障

白内障手术晶体如何选择 晶体选择指南在这里

你是否还在为做白内障手术的晶体选择而犹豫不决?晶体选择指南在这里,快来码住!

有点责任心吧你 2023-10-09 16:00:02

白内障

秋天是做白内障手术的黄金季节吗

秋天是做白内障手术的黄金季节吗?很多手术喜欢在秋季做,那么,对于白内障手术,在秋季做合适吗?

差不多 2023-10-08 17:05:58

白内障

做白内障手术和年龄有关吗 来看看白内障治疗误区

做白内障手术和年龄有关吗 来看看白内障治疗误区。白内障是一种常见的眼科疾病,如果不尽早治疗的话,很可能会导致患者出现失明的严重后果。

小短腿 2023-10-07 15:02:25

白内障

别等白内障成熟了 做白内障手术要把我黄金治疗时期

随着现代白内障手术的进步,目前,白内障手术已进入屈光性白内障手术时代,取代老化晶体的人工晶体选择范围越来越大,通过个性化的人工晶体选择可以在

看著別人幸福 2023-10-03 17:20:18

白内障

年龄大了 能承受白内障手术吗

相信很多人都遇到家里的老人有时候会跟自己说,他的视力看东西变模糊的情况,这时候可能是患有白内障了,我们要及时检查,以免耽误治疗。

剑南诗稿 2023-09-27 09:31:07

白内障

白内障手术做晚了会有什么后果呢 不妨帮父母看看

白内障,是现在很多老人都会出现的疾病。但是,不少老人得了白内障,拖到几乎看不见了才会就诊。

爱一场 2023-09-26 15:54:01

白内障

关于白内障是否可以根治

大多数人对白内障应该不陌生,而且是在老年人身上出现比较多的眼部疾病,但是也不是只有老年人才会有,有些儿童可能也逃不过。

生活不好过 2023-09-25 10:47:43

白内障

糖尿病白内障要怎么治疗

不管是身体患有什么疾病,我们都会不舒服,患有糖尿病的人会更加的容易患有白内障,这样的话我们要怎么治疗呢?

讲述关于你的话题 2023-09-23 15:09:01

白内障

关于白内障手术你要知道的那些事

白内障,是目前致盲率较高,也让大家较为熟知的眼部疾病。当白内障出现后,有很多人都比较慌张,都想用白内障手术祛除掉。

几近狂妄 2023-09-20 15:52:09

白内障

秋天是做白内障手术的好时机

你是不是一只在犹豫要不要做白内障手术,从春天犹豫到秋天,秋天是做白内障手术的好时机,你还不赶紧做吗?

和个性化 2023-09-19 10:43:06

白内障

轻度白内障需要手术吗 白内障不做手术会怎么样

白内障是中老年比较常见的眼科疾病,很多人却仍然缺乏对白内障的认识。当老人得了白内障时,要趁早去做预防跟治疗。

林诗九 2023-09-18 16:24:11

<
>