白内障
得了白内障该不该做手术
白内障致视物模糊,视力下降,手术是唯一有效治疗方式。确诊后视力低于0.3或影响生活者应及时手术。术后需遵循医嘱,避免剧烈运动,注意眼部卫生。
陌上蒹葭
有些人看东西
像“毛玻璃”般雾蒙蒙
视力越来越差
不仅带来许多不便
甚至影响生活质量
这很可能是白内障导致的
那么
白内障是否应该手术治疗
听听眼科医生的意见吧

什么是白内障
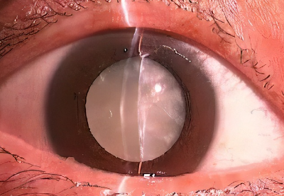
白内障指位于瞳孔后面的晶状体发生了混浊,一般肉眼是看不到的,除非晶状体严重混浊,我们才可以通过肉眼观察到瞳孔区变为白色。
白内障的主要临床表现是视物模糊,视力逐渐下降,无疼痛。
白内障的治疗
目前为止,治疗白内障唯一有效的手段就是手术。现在最常用的是超声乳化晶体吸除联合人工晶体植入手术。
由于公众对白内障危害有不同的认知,部分尚能看见的患者存在“能拖则拖”的心态,加上对白内障手术的恐惧等,很多患者宁愿生活在模糊的“视界”里。
手术是治疗白内障的有效方式。如果老年人发现视物朦胧、影响了正常生活,应该及时检查眼睛,若确诊为白内障应适时接受手术,而不用等到白内障成熟。
明确诊断是白内障,视力低于0.3或者视力下降影响正常生活的人群,经医生诊查后,可行手术治疗。
术后注意事项
1、两周内避免趴睡,避免大幅度低头、弯腰、举重物,一个月内可佩戴暗色眼镜,减少畏光。
2、可遵循医师指示按时滴眼药水。滴眼药前请洗净双手,滴时睁眼向上注视,轻翻下眼睑,将1滴眼药水滴入结膜囊(注意瓶口勿触及眼睛),闭眼5分钟左右。不同的眼药水须间隔10分钟以上再滴用。
3、避免眼睛进水,洗头可采用后仰姿势,洗脸用毛巾擦拭即可。
4、禁止用手揉搓眼部,避免容易撞击眼部或使眼压升高的运动,如游泳、跳水、打球、跳舞、举重、瑜伽等。
免责说明:本文由网友自由发布,如有侵权,请联系本网站进行删除
最受欢迎的文章