角膜炎
患了角膜炎该怎么办
患了角膜炎该怎么办?角膜炎是一种常见眼病,危害很大。消除诱因,如对睑内翻,倒睫、慢性泪囊炎、结膜炎等及时处理和治疗
开开心心
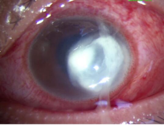
你听过眼睛被划伤后,对眼睛喷白酒、往眼睛里面涂蜂蜜的情况吗?我见过,后来他们的眼睛变成了这样:

金秋时节,谷物丰收,农民都在准备收庄稼。在老家,靠自己一家的力量,是不能把粮食全部收完的,都是大家互相帮助,把粮食收进来。小芳的嫂嫂家今年大丰收,所以和往年一样需要小芳来帮忙收谷子。下地那天,天公不作美,下起了大雨,小芳他们都淋湿了,到嫂嫂家后,小芳随手拿起嫂嫂的毛巾,把脸上的雨珠擦干净。万万没想到,就是自己一个随手的习惯,给自己带来了一场“灾难”!
回家几天后,小芳早上起来发现左眼眼红、卡痛,视力下降,觉得应该是小问题,就选择了当地诊所治疗,但是在当地诊所治疗几天后,症状不仅没有缓解,反而加重,这时去中心医院就医,已经由角膜炎进展为真菌性角膜溃疡!
小芳怎么患了真菌性角膜炎呢?什么情况下才会患这种疾病呢?听我给你一一道来。
什么是真菌性角膜炎?
真菌直接感染角膜引起的一种严重的眼病,是我国主要致盲性眼病之一。
主要致病菌有哪些?
发达国家及寒冷地区以念珠菌属为主,我国主要以镰刀菌属(70%-80%)和曲霉菌属(10%)为主。
哪些人容易患此病?
植物性眼外伤史、戴角膜接触镜、既往眼部手术史、机体免疫功能失调、长期局部使用糖皮质激素眼药水等。
真菌性角膜炎典型表现?
症状:早期眼部刺激症状一般较轻。眼部有异物感、刺痛、视物模糊,少量分泌物。混合感染时可加重。
体征:菌丝苔被、伪足、免疫环、内皮斑、卫星病灶和前房积脓等。
如何明确诊断?
角膜病灶刮片(微创但快速)、真菌培养(3-7天)、共聚焦显微镜(无创且快速)等。
角膜炎有哪些治疗方法:
1、消除诱因,如对睑内翻,倒睫、慢性泪囊炎、结膜炎等及时处理和治疗。
2、控制感染:针对致病微生物,选用适当的抗生素配制成不同浓度的眼苭。
3、散瞳:凡有巩膜刺激症状,如瞳孔缩小、对光反应迟钝及并发虹膜睫状体炎,均应散瞳。
4、热敷:用湿热敷法,可使眼部血管扩张,促进和改善局部血液循环,减轻刺激症状,促进炎症吸收,增强组织的修复能力。
5、皮质类固醇的应用:只限于变态反应性角膜炎或角膜溃疡愈合后,角膜基质仍有浸润及水肿时应用。对各种原因引起的角膜上皮损伤或角膜溃疡,原则上禁用皮质类固醇,以免促使溃疡恶化,或延缓上皮损伤的愈合。
6、包扎:用无菌纱布将患眼遮盖,可避免光线刺激,减少眼睑对角膜表面的磨擦,保护溃疡创面,并可减轻疼痛,促进溃疡愈合和预防继发感染。还可戴用治疗性软性角膜接触镜,但对伴有结膜炎和脓性分泌物多者禁用。必要时可戴有色眼镜。
会引起哪些并发症?
真菌穿透力强,菌丝能穿过角膜各层侵犯眼内组织。形成顽固的真菌性虹膜炎、瞳孔膜闭,继发性青光眼、并发性白内障、真菌性眼内炎。
看到这里人会疑问,小芳没有眼部外伤史呀,怎么会得这种病呢?经过仔细询问,发现小芳的嫂嫂患过角膜炎,小芳用过她嫂嫂的毛巾擦脸,而角膜炎是可能通过接触传染的!如果小芳知道一定的角膜炎知识,就不会患病了。
如果不幸患了角膜炎,患者自己需要注意什么呢?
一、 自我保护:角膜病重在预防。
1. 农作时,保护好眼睛,可带护具;
2. 需注意眼部卫生及手卫生,不用脏手或脏手绢擦眼,预防沙眼及红眼病;
3. 眼睛进了沙子或其他异物,千万不能用手揉眼,不能用酒精、白酒、蜂蜜等东西喷眼,特别是角膜异物,应当到医院请眼科医生取出,以防止角膜擦伤及细菌感染,避免对角膜产生损伤,造成严重不良后果,如有必要遵医嘱用药,及时复查;
4. 患有结膜炎、沙眼、睑内翻倒睫、慢性泪囊炎者,应尽早治疗,加强锻炼,增强体质,避免感冒及其它发热性疾病,在感冒、发热时,眼部出现刺激症状,如怕光、流泪、疼痛、睁不开眼等,应及时到医院检查,注意有无早期角膜炎改变,做到早发现、早诊断、早治疗,预防真菌角膜炎的继续发展,造成角膜溃疡和穿孔的发生;
5. 注意个人卫生,不与其他人共用洗脸毛巾和脸盆,健眼及患眼用物也应分开,避免交叉感染;佩戴隐形眼镜时注意清洁卫生;不随意揉擦患眼,减少感染和复发的几率。
6. 戒除不良用眼习惯,对严重角膜溃疡患者 ,嘱其不能用力闭眼 ,并注意保持大便通畅 ,避免用力打喷嚏 、咳嗽 ,以防角膜穿孔。
二、 心理:
真菌性角膜炎病程较长,且容易复发,患者需要对此疾病有正确认识,从而树立起战胜疾病的信心。
三、 饮食:
1.对真菌性角膜炎患者应注意营养健康状态,以富含维生素及易消化食物为主,如胡萝卜、 动物肝脏、蔬菜、水果和豆类、蛋类等,可有效的增加角膜营养供应,促进炎性物质吸收和角膜组织修复,加速真菌性角膜炎的愈合,从而提高临床治疗效果。
2.避免辛辣刺激的食物,戒除烟酒等不良嗜好,保证患者的大便畅通, 预防因便秘导致的角膜穿孔发生。
四、 用药:
1.遵医嘱用药,正确使用眼药。
2.滴注眼药水时,药液瓶口离眼球至少是是2~ 3cm,不可触及眼睑、睫毛,以防细菌污染,造成交叉感染;
3.眼药水应避免直接滴注在角膜上,以减少对角膜的刺激,滴入后禁止用手挤压眼球,预防角膜穿孔发生;
4.滴注眼药水后应压迫泪囊 1~2 min,增进角膜对眼药水的吸收,提高临床治疗效果,同时可避免眼药水经鼻泪管流入口腔;
5.在应用悬浊眼药水时应充分摇匀后进行使用,避免沉淀导致药效降低;
6.患眼药物及分泌物避免进入健眼,防止交叉感染。
免责说明:本文由网友自由发布,如有侵权,请联系本网站进行删除