社区新人
等级更新:2024/07
随着年纪的增长,不少老年人都避免不了受到老花眼、白内障等眼部疾病的困扰。如果有人跟你说靠吃药治疗好了老花眼白内障,可要擦亮眼睛谨防上当!

什么是白内障?
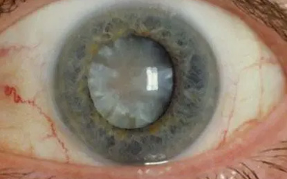
白内障即透明的晶状体变浑浊。如果把眼睛比作照相机,晶状体就像镜头,起到聚光、成像的作用。正常情况下,晶状体是透明的。任何原因导致晶状体透明度降低或者颜色发生改变,引起视物模糊、视力下降,均称为白内障。
白内障的成因
白内障主要是指由老化、遗传、局部营养障碍、免疫与代谢异常,外伤、中毒、辐射等原因造成晶状体代谢紊乱,导致晶状体蛋白质变性发生混浊的眼部疾病。
白内障患者常伴有视物模糊、重影、畏光、眩光、眼前黑影遮挡、近视加深等症状,如不及时进行手术治疗会有致盲风险。
白内障及老花眼的治疗方式
目前老花眼只能通过佩戴眼镜或通过手术以达到看清近处的目的。
由于晶状体出现混浊后无法逆转,对于白内障的治疗,目前的药物只能暂时延缓白内障发展的进程,想要解决白内障的问题还是需要通过手术将混浊的晶状体置换成透明的人工晶体以实现看清的目的。
目前临床上尚未出现治疗老花眼与白内障的药物,切勿相信偏方!
不少老年朋友们会同时受到老花眼和白内障的困扰,随着科技的发展,白内障手术技术也在更新迭代,屈光性白内障手术已经可以在治疗白内障的同时解决老花眼的问题。术后不再需要佩戴老花镜,为老年人实现摘镜愿望。
老年人如何预防眼部疾病?
1、养成好的生活习惯,饮食均衡、营养搭配合理;
2、积极参加体育锻炼,提高免疫力;
3、户外活动时,尽量戴遮阳帽或太阳镜等,减少紫外线对晶状体的损伤;
4、注重相关眼病的防治,出现眼部问题及时就诊。
免责说明:本文由网友自由发布,如有侵权,请联系本网站进行删除
评论0












