社区新人
等级更新:2024/04
很多朋友对“白内障”这个名字并不陌生,作为排名较为靠前的致盲性眼病。如今已有60岁以上老年人白内障发病率已达到80%,据估算人数或已超过2亿。但实际上,白内障的发病群体并不仅限于老年人。

白内障眼睛到底被什么“蒙住了”?
人的眼睛就像一部神奇的照相机,晶状体好比照相机的镜头,正常人的眼睛晶状体是透明的,一旦晶状体浑浊之后,就会阻碍光线进入眼睛,发生渐进性视力下降,慢慢地直至z终完全失明。
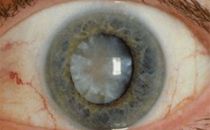
白内障就是发生于眼球晶状体的疾病,它是指晶状体由于蛋白质变性发生混浊而影响视力,出现看近看远都模糊的情况。
白内障的高发群体是哪些人?
白内障的发生和老化、遗传、局部营养障碍、免疫与代谢异常、外伤、中毒、辐射等因素有关。除了老年群体,长期受紫外线照射人群,有白内障家族史的人群,眼睛受过外伤的人群,长时间盯着电子屏幕的人群,患有高度近视的人群,患有糖尿病、高血压等人群,长期吸烟、饮酒人群,以及长期使用激素药物的人群都是白内障高发人群。
得了白内障会有哪些症状?
1、视力下降
晶状体周边的混浊可以不影响视力,而在中央部的混浊,即使范围很小也会严重影响视力。在强光下时,由于瞳孔缩小,进入眼内的光线更少,视力反而不如在弱光下好。当晶状体严重混浊时,视力可降至仅有光感甚至失明。
2、对比敏感度下降,视物模糊
日常生活中,人眼需要分辨边界清晰的物体,也需要分辨边界模糊的物体,后一种分辨能力则称为对比敏感度。部分白内障患者有可能视力下降不明显,但对比敏感度会有显著下降。
3、屈光改变
核性白内障患者的晶状体屈光能力增强,出现“核性近视”,对于老年人反而出现原有的老视减轻;发生白内障后,晶状体各部混浊程度不一,对光线的折射能力不同,可导致“晶状体性散光”。
4、色觉改变
混浊的晶状体对蓝光吸收增强,使患眼对颜色的敏感度下降;此外,晶状体核颜色的改变也会影响色觉。
5、其他症状
单眼复视或多视、视野缺损、眩光等。
免责说明:本文由网友自由发布,如有侵权,请联系本网站进行删除
评论0












